Our services

Robotic Knee Replacement

Robotic Knee Replacement

Robotic knee replacement provides the benefits of higher accuracy and better precision. This advanced technology allows for a customized fitting of the prosthetic joint to match the unique shape of your natural knee, ensuring optimal fit and function. Patients who undergo robotic knee replacement typically experience less pain and less blood loss compared to traditional surgery. Additionally, robotic knee replacement often leads to a faster recovery, getting you back on your feet and enjoying your daily activities sooner. By leveraging the latest advancements in robotic technology, we are dedicated to providing personalized and effective solutions for partial or total knee replacement for optimal patient outcomes.

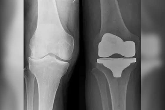
Total Knee Replacement (TKR)

Our minimally invasive and fast-track TKR can help you get back on your feet early after surgery. We have special expertise in complex knee replacements like severe deformities, bone defects, obese patients, arthritis with old fractures or previous surgeries, and retained metal implants like rod, plate, and screws. Total knee replacement is useful in the treatment of osteoarthritis, rheumatoid arthritis, inflammatory arthritis, post-traumatic arthritis, osteonecrosis, etc. The use of advanced prosthetic implants for TKR can help provide best and long-lasting results after knee replacement.

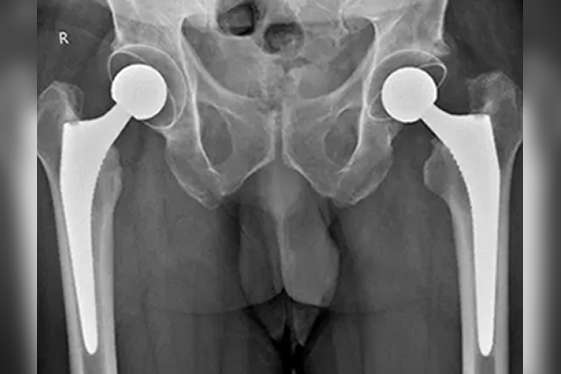
Total Hip Replacement (THR)

Our minimally invasive hip replacement techniques alongwith advanced prosthetic implant materials like ceramic bearings and Vitamin E enriched polyethylene can help provide durable results after surgery. A Total Hip Replacement can help in the treatment of avascular necrosis, osteoarthritis, ankylosing spondylitis, rheumatoid arthritis, inflammatory arthritis, acute hip fracture, and failed treatment of hip fractures. We specialise in Total Hip Replacements for severe deformities, bone defects, fused hips, obese patients, young patients, arthritis with old fractures or previous surgeries, and retained metal implants like rod, plate, and screws. It is possible to live a completely normal life after Total Hip Replacement.

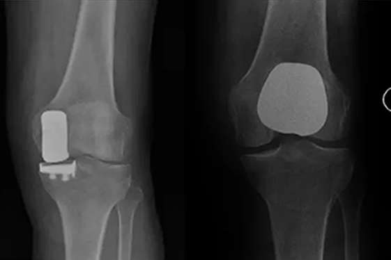
Partial Knee Replacement

If your arthritis is limited to only one part of your knee joint, a partial knee replacement could be a better option for you. It conserves bone and preserves the ligament and muscle which results in less pain, faster recovery, better function, and early discharge after surgery. Get in touch with us to know if your case is suitable for a partial knee replacement.

Computer-assisted Knee Replacement

Computer assisted knee replacement is performed using an advanced computer-based system, infra-red camera and trackers. It ensures accuracy and takes guesswork out of surgery. It helps customize the alignment of your artificial joint to fit the size and shape of your natural knee joint. Numerous scientific studies demonstrate superior patient outcomes after computer assisted knee replacement.

Revision Knee and Revision Hip Replacements

Unsuccessful or failed joint replacements require revision or re-do surgery. Joint replacements may fail due to infection, implant loosening, instability, fracture or poor alignment. These cases are complex and require a high level of care and expertise which our team can provide.

Treatment of Fractures

Fractures can be simple or complex. Some can heal with just bracing or plaster, while others may require major surgery. We offer comprehensive and advanced treatment for all types of fractures.

Arthroscopy (keyhole) surgery

Arthroscopy or keyhole surgery is a minimally invasive procedure that can help fix problems like Meniscus tears, Cartilage defects, Ligament tears (ACL reconstruction), Rotator cuff tears, Frozen shoulder, and Shoulder impingement.

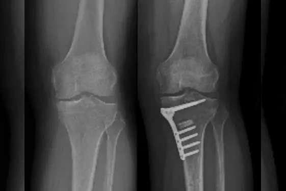
High Tibial Osteotomy (HTO)

Certain cases of knee arthritis can be successfully managed by performing HTO surgery which works by changing the alignment of the leg thus avoiding knee replacement

Biological and Non-surgical treatments

We offer non-surgical treatment options in the form of latest biological therapies like platelet rich plasma (PRP), Hyaluronic acid, and stem cell injections for various conditions like knee osteoarthritis, tennis elbow, plantar fasciitis, hip disorders, etc.

Management of Spine problems

Complete care for a variety of spine problems like cervical spondylosis, lumbar spondylosis, disc prolapse, sciatica, spinal stenosis, fractures, paraplegia, quadriplegia, radiculopathy, tumours, and infections like tuberculosis (TB).

Bone and Joint Infection

Infections of the bone (osteomyelitis) or joint (septic arthritis) can be due to bacteria, tuberculosis (TB) or fungus infection. We are equipped to provide urgent treatment and multidisciplinary care for orthopaedic infections.

Best Orthopedic Doctor in Mumbai

Management of general orthopaedic conditions

We provide treatments for a variety of general orthopaedic problems like backache, neck pain, shoulder pain and stiffness, tennis elbow, hand, wrist, and thumb problems, hip disorders, heel pain, flat feet, osteoporosis, etc.